Bridges

TRADITIONAL DENTAL BRIDGES

TRADITIONAL DENTAL BRIDGES

Zirconia Bridge, Teeth #18-21, by B&B Dental Technologies

Traditional bridges are the most popular kind of bridge. These bridges consist of one or more pontics and are held in place by dental crowns. Traditional bridges can be used when natural teeth are present  on both sides of the gap created by the missing tooth. Bridges are even strong enough to replace molars. The downside of traditional bridges is that your dentist will need to prepare the adjacent teeth by removing their enamel to make room for the crowns that will be cemented on top. Since enamel doesn't grow back, these teeth will always need to be protected with crowns, even if you later choose a different type of bridge.

CANTILEVER BRIDGES

Cantilever bridges are another option for replacing missing teeth. They are very similar to traditional bridges, but the pontic is supported by an abutment on only one side, rather than on both sides. So if there's only one natural tooth next to the gap, a bridge can still be secured. Like traditional bridges, the adjacent tooth is prepared to support the bridge by removing its ename

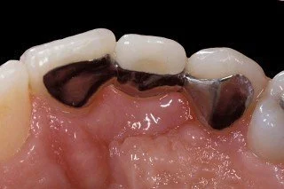
MARYLAND BRIDGES

MARYLAND BRIDGE

Maryland bridges are considered a conservative alternative to traditional bridges. These bridges consist of a pontic that is held in place by a metal or porcelain framework. This framework is bonded onto the backs of the two teeth adjacent to the missing tooth. Since this type of bridge isn't held in place by crowns, the adjacent teeth don't need to be filed. While Maryland bridges are more conservative than traditional bridges, they do have their downsides. The strength of the bridge is limited by the strength of the resin that holds it in place, so it may not stay in place in areas of the mouth where the teeth are subjected to a lot of biting force, like the molars.

IMPLANT-SUPPORTED BRIDGES

A dental prosthetic model with a row of artificial teeth on a black foam base.
A dental model of a set of lower teeth with dental crowns or implants, resting on black foam padding.

Implant-supported bridges are another option for replacing missing teeth. They can be used when you have more than one tooth missing. Instead of being supported by crowns or frameworks, these bridges are supported by dental implants. Usually, one implant is placed for every missing tooth, and this series of implants holds the bridge in place. However, the bridge may consist of a pontic suspended between two implant-supported crowns if placing one implant for every lost tooth isn't possible. Because these bridges are secured by implants, they feel very secure and comfortable, just like the natural teeth they replace.